CLINICAL SIGNS IN DF AND DHF

"THIS PAGE WILL HELP IN EARLY RECOGNITION OF CLINICAL SIGNS IN DF AND DHF."

1. TEMPERATURE WHICH RISES SUDDENLY WITH SHIVERING WHICH MAY GO UP TO 104F.

2. TOURNIQUET TEST


IN UNDER 12YEARS
RAISE PRESSURE IN THE CUFF JUST BETWEEN SYSTOLIC AND DIASTOLIC BLOOD PRESSURE
IN ABOVE 12YEARS
MAINTAIN CUFF PRESURE AT 80 MM OF Hg, MAINTAIN IT FOR FIVE MIN,

IF MORE THAN 10 PETECHAE APPEAR IN ONE SQUARE INCH. BELOW CUBITAL FOSSA, TT IS POSITIVE AND INDICATIVE OF HEMORRHAGIC TENDENCY.
FALSE POSITIVE IN OTHER VIRAL ILLNESSES.
FALSE NEGATIVE IN OBESE AND PROFOUND SHOCK.
FALSE NEGATIVE TT WILL BECOME POSITIVE AFTER RECOVERY FROM SHOCK

4. CAPILLARY REFILLING TIME IS NORMALLY LESS THAN 2 SEC. IF IT PROLONGS THINK OF IMPENDING SHOCK.

5. FLUSHING OF FACE DUE TO FEVER.

6. CONGESTION OF EYES IN DF

RASH WITH ITCHING IN DF ON FOURTH DAY OR LATER


GUM BLEED IN DF


LIP BLEED IN DF


BLEEDING FROM ORAL CAVITY IN DF


BLEEDING TONGUE ULCER IN DENGUE FEVER


SUBCUTANEOUS ECHEMOSIS


SUBCONJUNCTIVAL HEMORRHAGE IN DF PATIENT


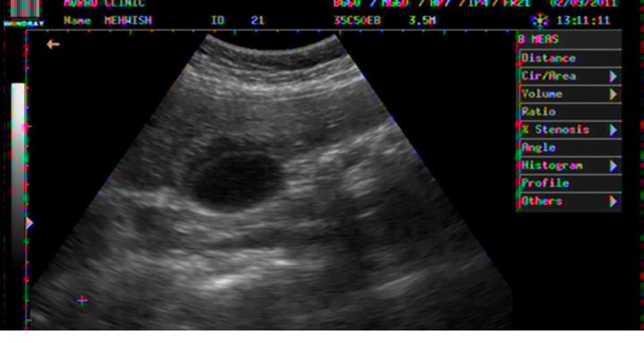
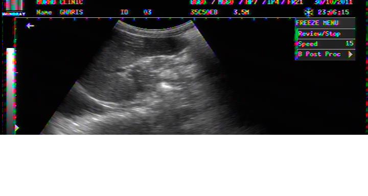
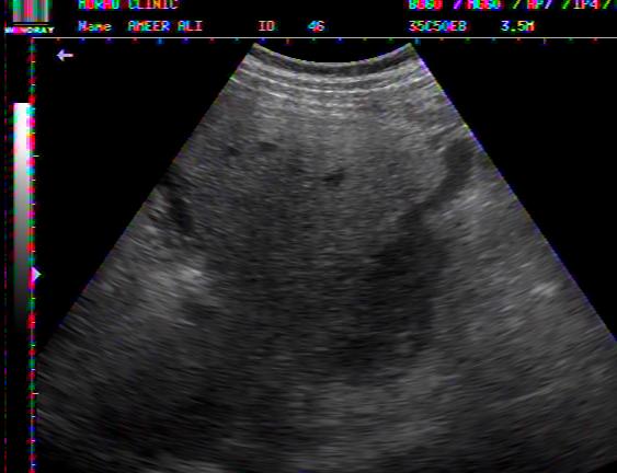
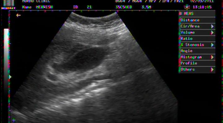
ROLE OF ULTRASOUND IN EARLY DIAGNOSIS OF DHF.

EARLY DETECTION OF PLASMA LEAK INTO PERITONEAL OR PLEURAL CAVITY

IF PULSE PRESSURE LESS THAN 20MM OF Hg. SUSPECT PLASMA LEAK THAT IS DHF.

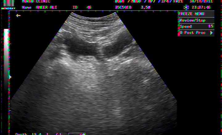
FLUID AROUND LIVER IN DHF


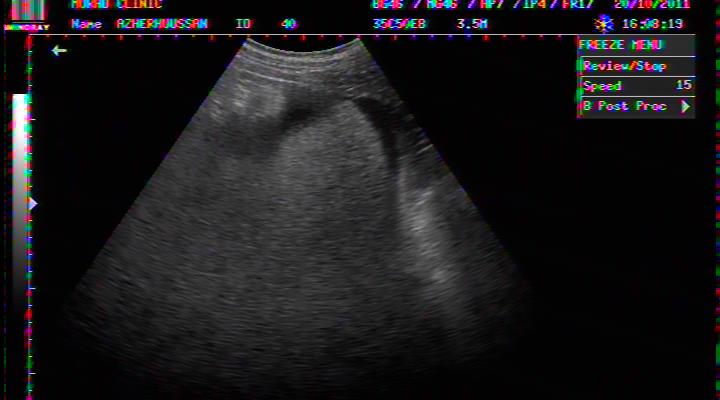
PELVIC ASCITES IN DHF


PLASMA FLUID AROUND LIVER IN DHF


EVERY DHF PATIENT MUST HAVE EVIDENCE OF PLASMA LEAKAGE AND THROMBOCYTOPENIA.

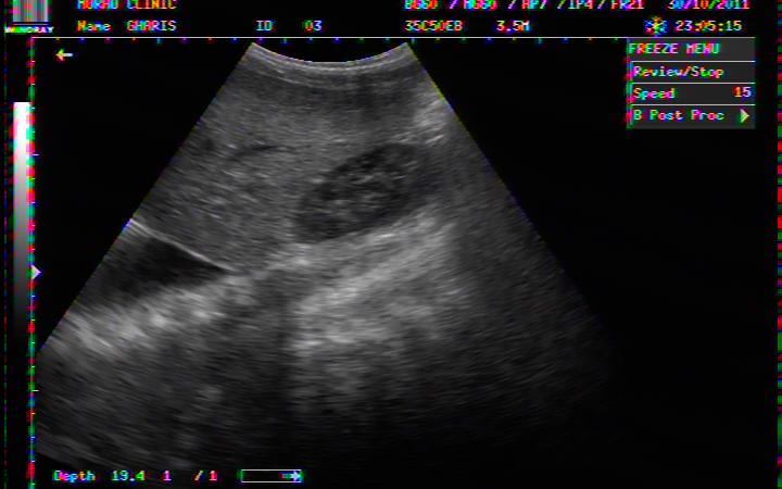
PERICHOLECYSTIC FLUID COLLECTION IN DHF


BILATERAL PLEURAL EFFUSION IN A 03 YEARS OLD BOY WITH DHF



BILATERAL PLEURAL EFFUSION COMPLETELY REABSORBED AFTER 3 WEEKS